近日,最靠谱的十大足球平台/三亚南繁研究院刘铜教授团队在国际学术期刊《Pesticide Biochemistry and Physiology》上发表了题为“Breaking the trade-off: Trichoderma effector Tahfb1 dual-targets growth and defense pathways via Hsp70L”的研究论文。该研究系统揭示了棘孢木霉(Trichoderma asperellum)效应蛋白Tahfb1如何通过靶向番茄宿主蛋白Hsp70L,协同调控植物生长与抗病性,从而打破植物在资源分配中固有的生长-防御权衡(trade-off),为实现作物“增产”与“抗病”双赢提供了新的分子机制与理论依据。
在自然环境中,植物常需在快速生长(占据资源)与强化防御(抵抗病原)之间进行权衡。团队前期研究发现棘孢木霉不仅能促进番茄根系生长,还能增强其对灰霉病的抗性。基于转录组分析,团队锁定了在与番茄互作中高表达的疏水蛋白基因Tahfb1。外源施加Tahfb1蛋白可显著促进番茄侧根发育,并有效减少灰霉病感染导致的病斑面积(图1)。

图1 Tahfb1外源蛋白能促进番茄侧根生长和提高番茄对灰霉病的抗性
通过构建基因敲除、回补及过表达等一系列突变株,研究进一步证实了Tahfb1基因对根系生长和抗病性的正向调控作用(图2)。分子检测表明,Tahfb1主要通过激活茉莉酸/乙烯(JA/ET)信号通路来提升植物的系统性抗病能力。
图2 Tahfb1基因正调控番茄侧根发育和抗病能力
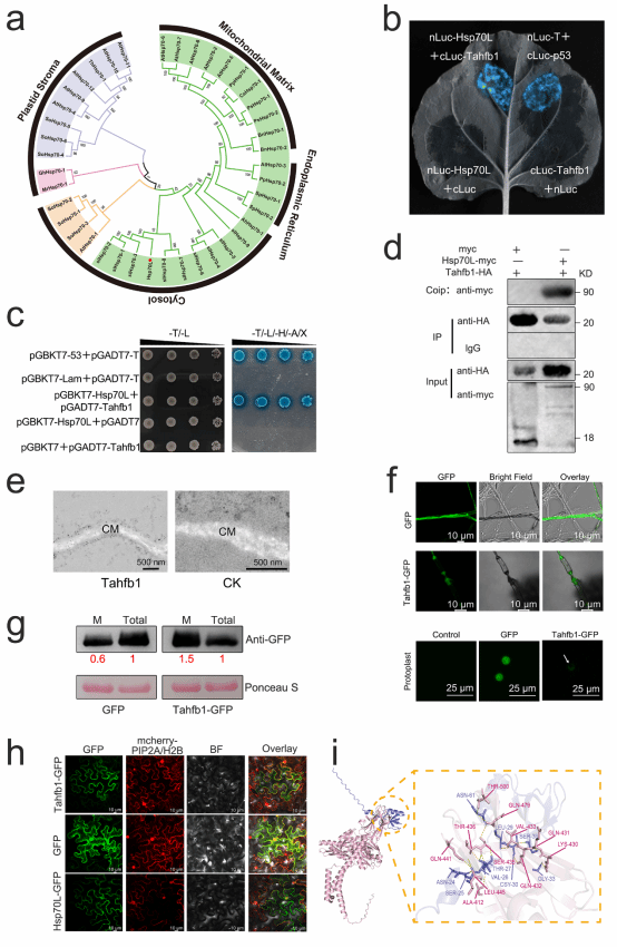
为深入解析Tahfb1的作用靶点与分子机制,研究团队利用LC-MS/MS技术筛选并鉴定出番茄中的互作蛋白Hsp70L。随后通过酵母双杂交(Y2H)、免疫共沉淀(Co-IP)及荧光素酶互补(Luc)实验,证实了Tahfb1与Hsp70L之间存在特异性互作(图3)。
图3 木霉Tahfb1与番茄Hsp70L蛋白互作的验证
利用RNAi技术沉默番茄Hsp70L基因后,Tahfb1诱导的侧根发育被显著抑制,同时病斑面积增加。这表明Tahfb1正是通过靶向Hsp70L,协同激活生长素介导的侧根发育途径与JA/ET依赖的系统防御网络,从而实现“促生长”与“增抗性”的双重功能(图4)。该研究首次提出了“Tahfb1-Hsp70L”模块作为木霉与植物互作的关键枢纽,破解了植物在生长与防御间的资源分配难题,为开发兼具促生与抗病功能的绿色生物农药提供了新靶点与新思路。
本论文第一作者为在读博士研究生尹雅萍,刘铜教授、侯巨梅副研究员、赵晶讲师为共同通讯作者。团队成员林润茂副研究员、王睿副教授、汤正宾副研究员参与了项目研究。该研究获得海南省自然科学基金和海南省科技人才创新基金的资助。
图4 木霉Tahfb1与番茄Hsp70L调控番茄生长与抗性机制模式图
论文在线访问地址:https://authors.elsevier.com/sd/article/S0048-3575(26)00033-7
初审:王睿
复审:盘毅
终审:于旭东